In battle over border barriers, judge calls out Texas' contradictory arguments

Brandon Bell/Getty Images (WASHINGTON) — The Justice Department is likely to succeed on its claim that floating barriers Texas deployed in the Rio Grande to prevent migrants from crossing were illegally installed, a federal judge in Austin
The rise of America's young Black tennis stars takes center stage at US Open

Elsa/Getty Images (NEW YORK) — When Serena Williams played the final match of her historic career at last year’s U.S. Open, countless headlines heralded the legacy that she, as a Black woman, left on the sport of
Mother allegedly confined 9-year-old daughter to home since 2017, had to 'beg to eat': Police

Catherine Falls Commercial/Getty Images Mother allegedly confined 9-year-old daughter to home since 2017, had to ‘beg to eat’: Police Nadine El-Bawab, ABC News (MIAMI) — A Florida mother has been arrested and charged with felony child neglect
USDA recalls over 245K pounds of frozen chicken strip products

US Department of Agriculture (WASHINGTON) — The U.S. Department of Agriculture has announced that ConAgra Brands Inc. is recalling approximately 245,366 pounds of frozen chicken strip products due to possible contamination with extraneous materials, specifically pieces of
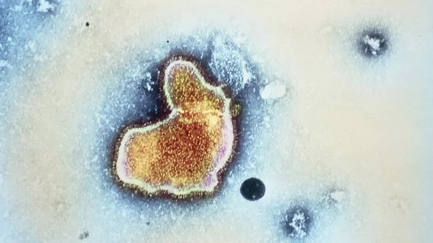
CDC warns RSV cases are rising in young children in the Southeastern US

Science Photo Library – CDC/Getty Images (WASHINGTON) — The Centers for Disease Control and Prevention warned this week that cases of respiratory syncytial virus, or RSV, are rising among young children in some parts of the Southeastern
Another bad poll for Biden, Haley's surprise, Scott's mom dishes and more in campaign trail takeaways

Bonnie Cash/UPI/Bloomberg via Getty Images (WASHINGTON) — A new poll out Thursday from CNN had nothing but bad news for President Joe Biden. But that same poll had a pleasant surprise for — Nikki Haley. Meanwhile, more
Grizzly bear that killed woman weeks ago euthanized after recently breaking into Montana home, officials say

STOCK PHOTO/Getty Images (WEST YELLOWSTONE, Mont.) — Montana wildlife officers and law enforcement euthanized a bear that was involved in a fatal attack on a woman over the summer after the grizzly was caught trying to break
Lionsgate bringing new version of 'The Crow' to theaters

Skarsgård — ROBYN BECK/AFP via Getty Images One of the deals that was just made at the Toronto Film Festival saw Lionsgate ponying up big to bring a new version of The Crow to theaters, Deadline reports.
New York City pop-up will let you step into the shadowy world of John Wick's hitman hotel The Continental

Peacock To celebrate the September 22 debut of The Continental: From The World Of John Wick, Peacock is backing an interactive experience in New York City that will let fans step into the prequel series’ shadowy world.
Controversial parenting YouTuber Ruby Franke formally charged with felony child abuse

Witthaya Prasongsin/Getty Images Ruby Franke, a YouTuber who gained online notoriety with her tough and often controversial parenting advice, has been formally charged with six counts of felony child abuse in Washington County, Utah. The mother of